
Pneumonia
Esta informação aplica-se a mim?
Sim, se você tiver sintomas de pneumonia ou se tiver sido diagnosticado
com pneumonia.
Estas informações também podem ser úteis se você for um membro da
família ou cuidador de uma pessoa que tenha ou possa ter pneumonia.
MAS não dizem respeito a pneumonia que se desenvolve em pessoas que:
-
ter um tubo colocado em suas vias aéreas para ajudá-los a respirar (chamado intubação) ou
-
estão numa unidade de terapia intensiva ou
-
têm um sistema imunológico enfraquecido (por causa de uma doença do sistema imunológico ou causada por condições como o HIV ou câncer, ou causada por tratamento com drogas, como a quimioterapia) ou
-
também tem uma condição pulmonar chamada bronquiectasia ou
-
estão chegando ao fim de sua vida.

O que é Pneumonia?
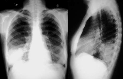
Pneumonia é um tipo de inflamação no peito. Existem vários tipos diferentes de inflamação no peito (incluindo bronquite), que podem variar em gravidade. A pneumonia pode ser causada por um agente bacteriano, vírico, fungico ou ter uma causa desconhecida. Atinge secundariamente os pequenos sacos aéreos (alvéolos) nos pulmões. Quando tem pneumonia, esses sacos de ar ficam cheios de líquido (imagem inferior) e isso dificulta o funcionamento adequado dos pulmões.
.jpg)
O principal sintoma da pneumonia é geralmente tosse juntamente com pelo menos um outro sintoma, como:
- presença de apatia
- febre
- falta de ar ou dificuldade em respirar
- desconforto no peito ou dor.

Os médicos geralmente diagnosticam pneumonia perguntando sobre os seus sintomas e examinando seu torax. Se estiver no hospital, uma radiografia de tórax é geralmente realizada para confirmar o diagnóstico.
A maioria das pneumonias desenvolve-se fora do hospital, na comunidade (às vezes descrita como pneumonia adquirida na comunidade). No entanto, algumas vezes as pessoas desenvolvem pneumonia enquanto estão hospitalizadas com outro problema (chamado pneumonia adquirida no hospital). A maioria das informações aqui é para pessoas que desenvolvem pneumonia fora do hospital, embora haja algumas informações sobre o tratamento da pneumonia que começa no hospital.
Como se trata a Pneumonia?
Se tem pneumonia, o seu médico deve avaliar a gravidade, a sua idade, os sintomas que você tem e a pressão arterial. Isto ajudará o seu médico a decidir se deve ser tratado em casa ou no hospital (embora o seu médico também deva ter em conta outras coisas que possam afectar o local onde deve ser tratado, tal como quaisquer outros problemas de saúde que tenha e se tem apoio em casa). Também ajudará o seu médico a decidir qual o melhor tratamento para sí.
Informe o seu médico se você é alérgico à penicilina.
Tratamento para pneumonia leve
Se sua pneumonia é leve (também chamada de baixa gravidade), pode ser possível que você seja cuidado em casa sem mais exames.
Deve ser-lhe oferecido um tratamento de 5 dias com antibióticos logo que possível após o diagnóstico. Isso geralmente deve ser um tipo de penicilina chamado amoxicilina, a menos que você seja alérgico à penicilina.
Informe o seu médico se não começar a se sentir melhor depois de tomar antibióticos por 3 dias, ou a qualquer momento se começar a sentir-se pior.
Tratamento para pneumonia mais grave
Se a sua pneumonia for mais grave (chamada de gravidade moderada ou alta), talvez seja necessário ser internado. Deve ter de realizar exames de sangue e expectoração, e possivelmente um teste de urina, para ajudar a descobrir o que está na origem da infecção.
Deve receber antibióticos o mais rápido possível após o diagnóstico. Se você for internado no hospital, isso deve ocorrer dentro de 4 horas após a admissão.
O tratamento geralmente deve ser feito com 2 antibióticos diferentes ao mesmo tempo, e pode precisar tomar antibióticos por 7 a 10 dias (embora você não precise ficar no hospital por tanto tempo).
Se estiver em tratamento no hospital, um dos testes que você pode ter de realizar quando for admitido pela primeira vez é um exame de sangue chamado de proteína C reativa (ou teste PCR). O seu médico deve repetir este teste se não melhorar ou os sintomas piorarem após 2 ou 3 dias de antibióticos.
Normalmente não deve precisar de ser tratado com um medicamento chamado glicocorticosteróide (mais conhecido como esteróide), a menos que seja necessário para outra condição.
O que esperar depois de iniciar seus antibióticos
O seu médico deve explicar-lhe que os seus sintomas devem começar a melhorar depois de tomar antibióticos, mas que algumas pessoas melhoram mais depressa do que outras e isso pode depender da gravidade da pneumonia.
Deve esperar que depois de:
-
1 semana a sua febre deve ter ido embora
-
4 semanas o seu peito vai se sentir melhor e você vai produzir menos catarro
-
6 semanas vai tossir menos e achar mais fácil respirar
-
3 meses a maioria dos sintomas desaparecerá, mas você ainda pode se sentir cansado.
-
Aos 6 meses você deve se sentir de volta ao normal.
Informe o seu médico se você acha que seus sintomas estão piorando ou se eles não estão melhorando como esperado.
Antes de sair do hospital
Se está a ser tratado no hospital, o seu médico ou enfermeiro deve efetuar algumas verificações para decidir quando pode ir para casa.
Normalmente não deve receber alta se teve 2 ou mais dos seguintes problemas nas últimas 24 horas:
-
uma temperatura alta
-
um coração acelerado ou ritmo respiratório
-
uma baixa quantidade de oxigénio no sangue
-
pressão sanguínea baixa
-
confusão
-
dificuldade em comer sem ajuda.
Você também pode precisar ficar mais tempo no hospital se tiver uma temperatura acima de 37,5 ° C.
Se você desenvolver pneumonia enquanto estiver no hospital
Se você desenvolver pneumonia enquanto estiver no hospital ou logo após sua alta, seu tratamento pode ser um pouco diferente. Isso ocorre porque os tipos de infecção que se desenvolvem nos hospitais geralmente são diferentes daqueles que se desenvolvem fora dos hospitais.
Você deve receber antibióticos o mais rápido possível. Seu médico deve escolher quais antibióticos você deve tomar de acordo com as diretrizes locais. Você pode precisar fazer 5 a 10 dias de antibióticos.
Algumas questões que pode colocar ao seu médico:
Para familiares, amigos ou cuidadores
O que eu / eu podemos fazer para ajudar e apoiar a pessoa com pneumonia?
Preciso tomar alguma precaução para evitar contrair pneumonia do meu familiar ou amigo?
Acompanhando seu tratamento
Quando devo começar a me sentir melhor e o que devo fazer se não começar a me sentir melhor até lá?
Existem diferentes tratamentos que eu poderia tentar?
Se eu tiver terminado meu tratamento com antibióticos e não me sentir melhor, devo tomá-los por mais tempo?
Eu estou propenso a contrair pneumonia novamente?
Pode alguma coisa ser feita para impedir que isso volte?
Qual é o papel da fisioterapia no tratamento?
Os fisioterapeutas desempenham um papel importante na recuperação de pacientes com pneumonia. Entre elas fazer um diagnóstico funcional, implementar técnicas especializadas com objetivos como:
-
evitar internamento (22 a 42 por cento dos pacientes diagnosticados com pneumonia adquirida na comunidade (PAC) são admitidos no hospital);
-
tratamento da insuficiência respiratória;
-
gestão de secreções das vias aéreas (técnicas de desobstrução das vias aéreas, posicionamento);
-
redução do trabalho respiratório (posicionamento, técnicas de respiração);
-
tratamento de comorbilidades (doença pulmonar obstrutiva crônica, doença neuromuscular, acidente vascular cerebral);
-
recuperação da doença, incluindo mobilidade precoce, exercício e alta segura.
Revisto em Agosto de 2018
Physiotherapy and pneumonia by Laura Breach, Chartered Society ff Physiotherapy, volume 22, issue 08, on May 2016
Pneumonia in adults: diagnosis and management, Clinical guideline [CG191] by NICE, on December 2014
valor. qualidade. conveniência.